Our aim is to help you achieve healthy teeth and gums!
Our friendly team is committed to the prevention of dental diseases. Regular appointments with our hygienist can help to keep your teeth and gums clean and healthy.
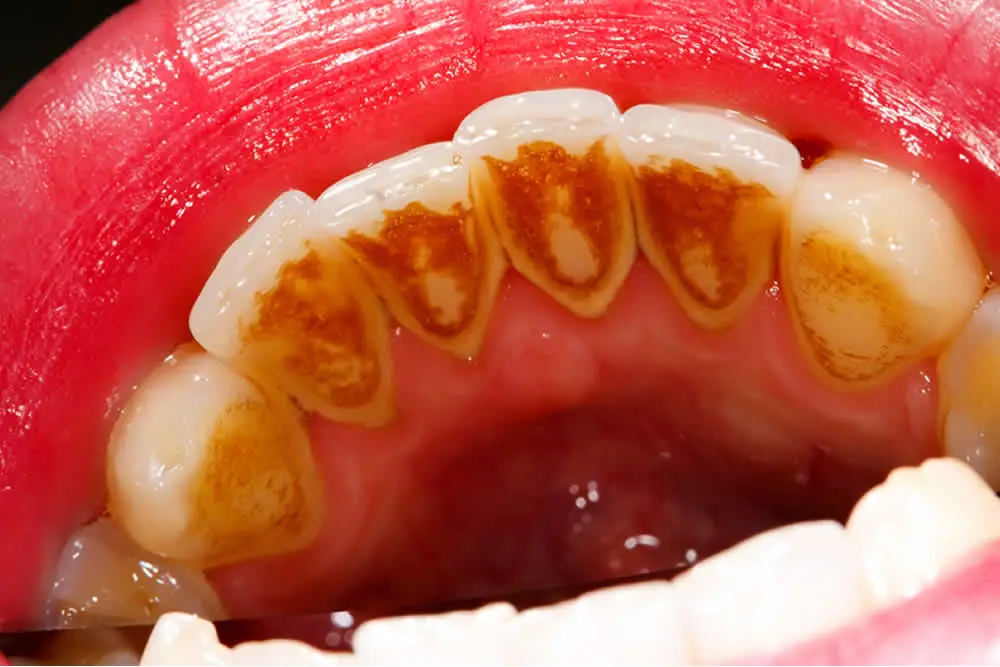
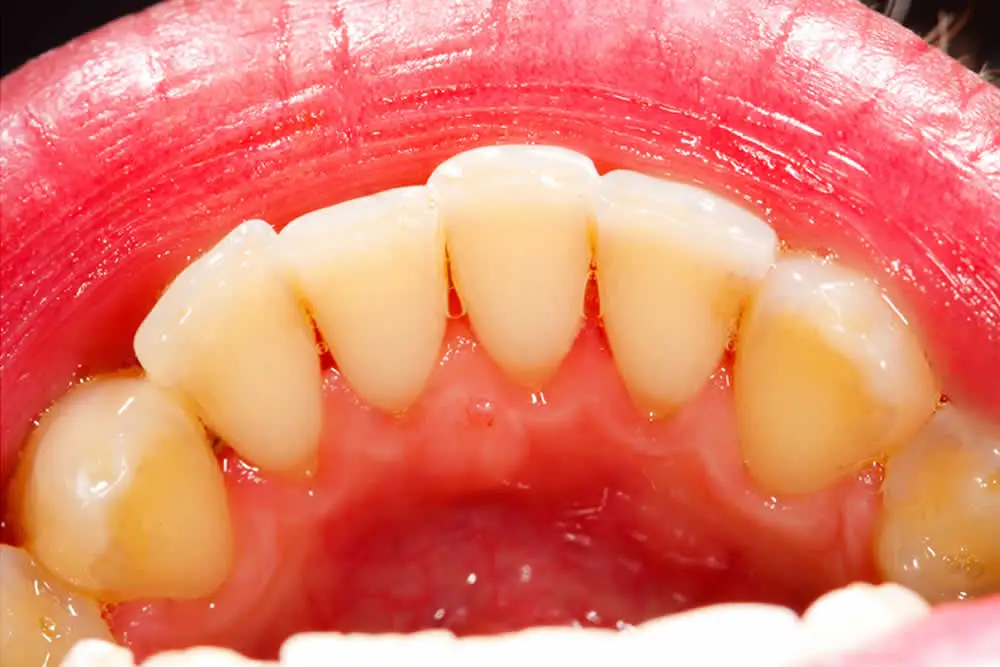
Plaque & Tartar Removal: Eliminate buildup that brushing and flossing can’t reach.
Gum Disease Prevention: Protect against gingivitis and periodontitis with regular care.
Oral Health Maintenance: Routine hygiene visits are key to keeping your smile bright and your breath fresh.
You will be advised on the best oral hygiene techniques to prevent decay and gum problems. This will be tailored advice specifically for you on the best brushing technique to use and the most suitable interdental cleaning aids.
Your gums will be screened for any signs of gum disease and advice on further treatment will be provided if necessary.
Your teeth will be cleaned of plaque and calculus (hard plaque) using the latest techniques in the most gentle and effective ways possible. With care being taken that you are as comfortable as possible throughout.
You will be advised on the best recall for Dental Hygiene appointments for your needs. This could be every 6-12 months for relatively well maintained teeth and gums. Or 3-4 monthly for mouths which are more susceptible to oral diseases.






What is air polish stain removal treatment?
This is the most up to date and effective treatment for tooth stain removal. The system uses a high pressure powder spray to remove not only plaque but stain too.
Join Us Today!
Whether you’re a private patient or part of a dental plan, we’re here to help you achieve the smile you deserve. Contact us by a email or call us on 01980 623004.
Design by Dental Media